Per un monitoraggio accurato della meccanica respiratoria e poter fornire, all’occasione, un trattamento ottimale dell’insufficienza respiratoria, è necessaria una valutazione dettagliata delle pressioni che agiscono all’interno del sistema respiratorio. La stima della pressione pleurica (Ppl) rappresenta una delle tecniche disponibili per comprendere, definire e valutare individualmente i meccanismi patologici dell’insufficienza respiratoria, per settare il ventilatore nei pazienti con danno polmonare acuto, per titolare il supporto farmacologico, per ottimizzare l’interazione paziente ventilatore e seguire il decorso clinico del paziente [1-4]. Tuttavia, il monitoraggio della Ppl è raramente utilizzato in ambito clinico; piuttosto, rimane ampiamente visto come uno strumento di ricerca. Ciò è in parte dovuto a problemi tecnici come il corretto posizionamento di un catetere esofageo al fine di ottenere misurazioni accurate[5].
In questo post cercherò di essere pragmatico e andremo a vedere come misurare la Ppl.
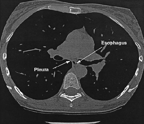
La Ppl può essere misurata direttamente solo inserendo un catetere nello spazio pleurico, operazione non facilmente realizzabile nella pratica clinica. Fortunatamente, la pressione nel terzo tratto inferiore dell’esofago(PES) è simile alla pressione all’interno dell’adiacente pleura [6]. Ciò risulta evidente nella Figura 1, che mostra una sezione TC trasversale del torace dove si può vedere chiaramente la stretta vicinanza dell’esofago allo spazio pleurico.
Figura 1
Il corpo dell’esofago è essenzialmente una struttura passiva (tranne durante la deglutizione) ed è quindi in grado di trasmettere una pressione simile all’adiacente spazio pleurico [7]. La tecnica più comune per misurare la PES utilizza un catetere dotato nella sua porzione terminale di un sottile palloncino di lattice lungo 10 cm da cuffiare con aria.
Figura 2. Immagine tratta da Mojoli F, et al [10].
Tuttavia, il valore di PES potrebbe essere alterato dalla posizione del palloncino (troppo in alto o troppo in basso), dal volume con cui viene riempito il palloncino [8] e dalla posizione del paziente. Inoltre, i polmoni danneggiati possono mostrare una maggiore densità e caratteristiche meccaniche non uniformi, che aumentano i gradienti gravitazionali e spaziali nella pressione pleurica [7]. I cateteri per il monitoraggio della pressione esofagea (Figura 2) possono essere collegati al monitor multi-parametrico utilizzando un trasduttore di pressione, a dispositivi di monitoraggio dedicati o a porte di pressione accessorie presenti su alcuni ventilatori.
Posizionamento e verifica del palloncino esofageo
Sebbene possano esistere diverse tecniche, anche molto valide, per il posizionamento di questo device, vi presenterò quella proposta dal gruppo di lavoro PLUG-Acute Respiratory Failure section of the European Society of Intensive Care Medicine [1], che in aggiunta ha pubblicato e reso disponibile online un video della procedura (clicca sul link qui sotto per vedere il video):
Dopo aver posizionato il paziente in posizione semi-seduta e aver sgonfiato il palloncino esofageo raccordarlo con un rubinetto a tre vie, mettere in lettura il segnale (monitor o ventilatore) e introdurlo nell’esofago per via trans-orale o trans-nasale. Il catetere esofageo viene quindi fatto avanzare delicatamente fino ad una profondità di circa 55 cm per raggiungere lo stomaco e gonfiato con il volume d’aria raccomandato dalla casa: 1-2 ml (Cooper), 0.5-3 ml (Marquat), 4 ml (NutriVent) e 0.5-2.5 ml (SmartCath and SmartCathG). Per Microtek non sono disponibili indicazioni del produttore, pertanto considerare 0,5-1,0 ml [9].Figura 3. Immagine tratta da Mojoli F. Esophageal and transpulmonary pressure in ARDS patients. ARDS day 2018.
La posizione intra-gastrica del catetere è confermata da un aumento della pressione (sul tracciato della PES) durante una delicata compressione epigastrica manuale esterna. Inoltre, la pressione gastrica è sempre positiva durante l’inspirazione, sia nel respiro spontaneo che nelle ventilazioni controllate (figura 3).
Successivamente, il catetere viene progressivamente retratto in esofago. Il posizionamento esofageo è suggerito dall’apparizione di artefatti cardiaci sui tracciati della pressione e dal passaggio da profili grafici della curva di pressione intra-addominali a quelli intra-toracici (figura 4). Più precisamente, quando si iniziano a vedere i primi artefatti cardiaci, si deve retrarre il catetere di altri 10 cm (corrispondenti alla lunghezza del palloncino). Lo scopo è di aver la sicurezza che il palloncino si trovi per la sua intera lunghezza nell’ultimo tratto dell’esofago (e non a cavallo del cardias).
Figura 4. Immagine tratta da Mojoli F. Esophageal and transpulmonary pressure in ARDS patients. ARDS day 2018.
Scuffiare il palloncino completamente, quindi rigonfiarlo a step di 0,5-1 ml fino a raggiungere il volume ottimale. Il volume di riempimento ottimale del palloncino esofageo corrisponde al minor volume associato al maggiore tidal ΔPES(figura 5).
Figura 5. Immagine tratta da Mojoli F. Esophageal and transpulmonary pressure in ARDS patients. ARDS day 2018.
Quando sono presenti sforzi inspiratori spontanei, il test convenzionale per convalidare la misurazione PES consiste nel confrontare le variazioni della pressione nelle vie aeree (ΔPaw) e la variazione della pressione esofagea (ΔPES) durante una manovra di occlusione a fine espirazione (anche chiamata pausa espiratoria) (figura 6), il cosiddetto test Baydur. Figura 6: test di Baydur, paziente con sforzi inspiratori spontanei. Immagine tratta da Grieco DL et al [10].Nell’inspirazione durante l’occlusione, ΔPES e ΔPaw dovrebbero essere quasi identiche, poiché non vi è alcun cambiamento nel volume polmonare. Quando il rapporto ΔPes/ΔPaw è compreso tra 0,8 e 1,2 la misurazione PES è considerata affidabile.Nei pazientiprofondamente sedati con o senza paralisi, per eseguire il test si effettua una compressione manuale esterna sulla gabbia toracica durante una pausa espiratoria, se anche in questo caso ΔPes/ΔPaw è compreso tra 0,8 e 1,2, la misurazione PES è considerata affidabile [1] (figura 7).
Figura 7: test di verifica in un paziente pesantemente sedato e/o curarizzato. Immagine tratta da Grieco DL et al [10].
La presenza di un sondino nasogastrico non sembra influenzare in modo significativo la misurazione di PES [11], mentre il valore assoluto di PES può essere significativamente più alto quando il palloncino esofageo è posizionato nel terzo inferiore dell’esofago, rispetto a quello centrale, a causa della maggiore sovrapposizione di pressione generata dal cuore e dal polmone. Di conseguenza alcuni autori hanno proposto di sottrarre 5 cmH2O dal valore di PES per tenere conto del peso del mediastino [7] [12], ma esistono incertezze sulla validità di questa approssimazione nei pazienti in ICU [13]. Inoltre, poiché la pressione generata dalla parete esofagea come reazione al riempimento del pallone potrebbe aumentare il valore assoluto di PES al di sopra del valore della pressione pleurica (P), è stata recentemente descritta una procedura di calibrazione che controbilancia questo artefatto, con il conseguente miglioramento dell’uso dei valori assoluti di PES, specialmente quando si usano palloncini di grandi volumi [8].
Per oggi ci fermiamo qua, nel prossimo post vedremo quali dati possono essere ricavati grazie alla PES.
Un caloroso saluto a tutti Enrico Bulleri
Bibliografia
Mauri T, et al. Esophageal and transpulmonary pressure in the clinical setting: meaning, usefulness and perspectives.Intensive Care Med 2016; 42:1360–1373.
Grasso S,et al. ECMO criteria for influenza A (H1N1)–associated ARDS: role of transpulmonary pressure. Intensive Care Med2012; 38:395–403.
Thille AW, et al. Reduction of patient–ventilator asynchrony by reducing tidal volume during pressure-support ventilation. Intensive Care Med2008;34:1477–1486.
Talmor D , et al. Mechanical ventilation guided by esophageal pressure in acute lung injury.. N Engl J Med 2008; 359: 2095 – 2104.
Akoumianaki E, et al. The Application of Esophageal Pressure Measurement in Patients with Respiratory Failure. Am J Respir Crit Care Med 2014; 189 (5): 520-31.
Milic-Emili J, et al. Topography of esophageal pressure as a function of posture in man. J Appl Physiol 1964; 19:212–216.
Talmor D et al. Esophageal and transpulmonary pressures in acute respiratory failure. Crit Care Med 2006; 34 (5):1389-1394.
Mojoli F, et al. In vivo calibration of esophageal pressure in the mechanically ventilated patient makes measurements reliable. Critical Care 2016; 20:98
Mojoli F, et al. Esophageal pressure measurements under different conditions of intrathoracic pressure. An in vitro study of second generation balloon catheters. Minerva Anestesiol. 2015 Aug; 81(8):855-64.
Grieco DL, et al. Transpulmonary pressure: importance and limits. Ann Transl Med 2017; 5(14):285.
Niknam J, et al. Effect of a nasogastric tube on esophageal pressure measurement in normal adults. Chest 1994; 106(1):137-41.
Loring SH, et al. Esophageal pressures in acute lung injury: do they represent rtifact or useful information about transpulmonary pressure, chest wall mechanics, and lung stress? J Appl Physiol 2010; 108:515-522.
Guerin C, Richard JC. Comparison of 2 Correction Methods for Absolute Values of Esophageal Pressure in Subjects With Acute Hypoxemic Respiratory Failure, Mechanically Ventilated in the ICU. Respir Care 2012; 57:2045–2051.
Ciao Francesco, in un paziente profondamente sedato o paralizzato il test di Baydur non può essere fatto, in quanto, per verificare il corretto posizionamento del palloncino attraverso ΔPes/ΔPaw non si può sfruttare la depressurizzazione generata dalla muscolatura inspiratoria durante una pausa di fine inspirazione; per questo motivo si sfrutta come test di verifica la variazione di pes e paw generata dall’aumento di pressione provocato da una compressione del torace.
Per eseguire la compressione bisogna appoggiare le mani sui due emitorace e comprimerli in modo graduale (non troppo velocemente) con decisione ma senza usare troppa forza in modo da aumentare la pressione senza danneggiare le costole. Per avere un’idea più chiara su come eseguire questa manovra ti consiglio di guardare il video (cliccalndo sul link nel testo del post) proposto dal gruppo di lavoro PLUG-Acute Respiratory Failure section of the European Society of Intensive Care Medicine [1].
Un caro saluto
[…] Il gold standard nella valutazione dello sforzo respiratorio è rappresentato dalla pressione esofagea (Pes). Utilizzando un catetere esofageo è possibile stimare con accuratezza la variazione di pressione pleurica durante la respirazione. L’oscillazione inspiratoria della pressione esofagea (∆Pes) è molto facile da misurare (e monitorare in continuo) al letto dell’assistito e può essere visualizzata direttamente sullo schermo di alcuni ventilatori (esempio Hamilton G5 e C6). Se non ricordi come posizionare il catetere esofageo o come verificare la corretta posizione guarda il post del 19/10/2018. […]
Ciao Enrico, avrei una domanda. Qual è il razionale della compressione toracica nei pazienti totalmente passivi ? E come la devo eseguire ?
Grazie !
"Mi piace""Mi piace"
Ciao Francesco, in un paziente profondamente sedato o paralizzato il test di Baydur non può essere fatto, in quanto, per verificare il corretto posizionamento del palloncino attraverso ΔPes/ΔPaw non si può sfruttare la depressurizzazione generata dalla muscolatura inspiratoria durante una pausa di fine inspirazione; per questo motivo si sfrutta come test di verifica la variazione di pes e paw generata dall’aumento di pressione provocato da una compressione del torace.
Per eseguire la compressione bisogna appoggiare le mani sui due emitorace e comprimerli in modo graduale (non troppo velocemente) con decisione ma senza usare troppa forza in modo da aumentare la pressione senza danneggiare le costole. Per avere un’idea più chiara su come eseguire questa manovra ti consiglio di guardare il video (cliccalndo sul link nel testo del post) proposto dal gruppo di lavoro PLUG-Acute Respiratory Failure section of the European Society of Intensive Care Medicine [1].
Un caro saluto
"Mi piace""Mi piace"
[…] Il gold standard nella valutazione dello sforzo respiratorio è rappresentato dalla pressione esofagea (Pes). Utilizzando un catetere esofageo è possibile stimare con accuratezza la variazione di pressione pleurica durante la respirazione. L’oscillazione inspiratoria della pressione esofagea (∆Pes) è molto facile da misurare (e monitorare in continuo) al letto dell’assistito e può essere visualizzata direttamente sullo schermo di alcuni ventilatori (esempio Hamilton G5 e C6). Se non ricordi come posizionare il catetere esofageo o come verificare la corretta posizione guarda il post del 19/10/2018. […]
"Mi piace""Mi piace"